Discuss Dentistry
Daily forum for dentists
Kindly share the radiographs. It varies from case to case. but normally try to place 6 to 8 in maxilla and 6 in mandible.
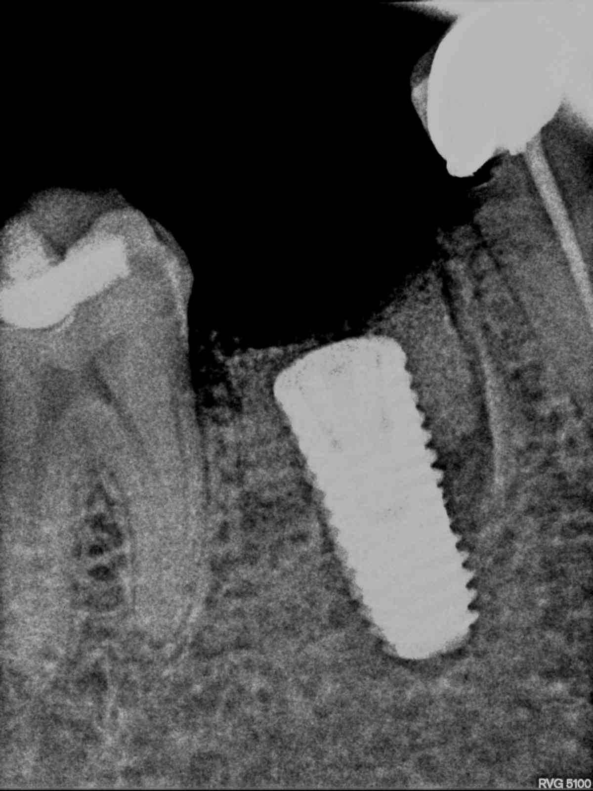
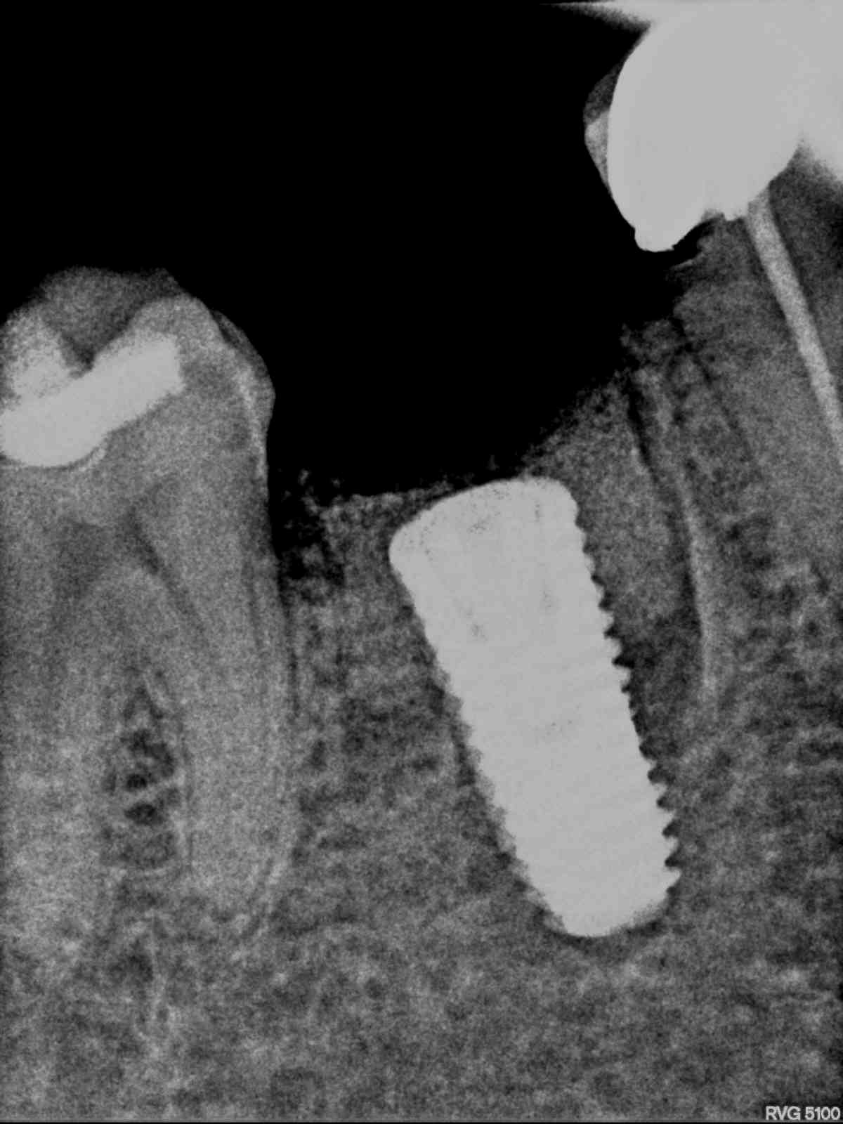
Extraction followed by immediate implant placement along grafting the Jump space. SCRP prosthesis was given finally. 1 Year follow up is also there.
vibha-Copy.jpg
vibha-1.jpg
vibha-Copy-1.jpg
vibha-1-1.jpg
vibha-1-2.jpg
vibha-Copy-2.jpg