Opacity in root canal space

Home Forums Endodontics & conservative dentistry Opacity in root canal space

Welcome Dear Guest

To create a new topic please register on the forums. For help contact : discussdentistry@hotmail.com

Currently, there are 0 users and 1 guest visiting this topic.
Viewing 1 post (of 1 total)
  • Author
    Posts
  • #20280
    site_admin
    Offline
    Registered On: 02/09/2011
    Topics: 95
    Replies: 97
    Has thanked: 22 times
    Been thanked: 1 time

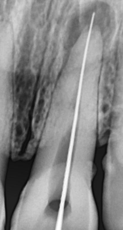
    Was difficult but managed to negotiate. 18 june cropped

    For one to one consultations on dental practice growth and practice management please contact : todaysmedicalmarketing@gmail.com

Viewing 1 post (of 1 total)
  • You must be logged in to reply to this topic.