Discuss Dentistry » All Posts https://demo.discussdentistry.com/forums/forum/cosmetic-aesthetic-dentistry-2/feed/ Tue, 02 Sep 2025 00:41:25 +0000 https://bbpress.org/?v=2.6.11 en-US https://demo.discussdentistry.com/forums/topic/orthodontic-treatement-or-smile-redesigning/#post-26156 <![CDATA[Orthodontic treatement or smile redesigning]]> https://demo.discussdentistry.com/forums/topic/orthodontic-treatement-or-smile-redesigning/#post-26156 Mon, 12 Aug 2024 10:08:02 +0000 site_admin Dear all eminent orthodontists, Help required with this case.Female patient /Age…44 yrs / No relevant medical history

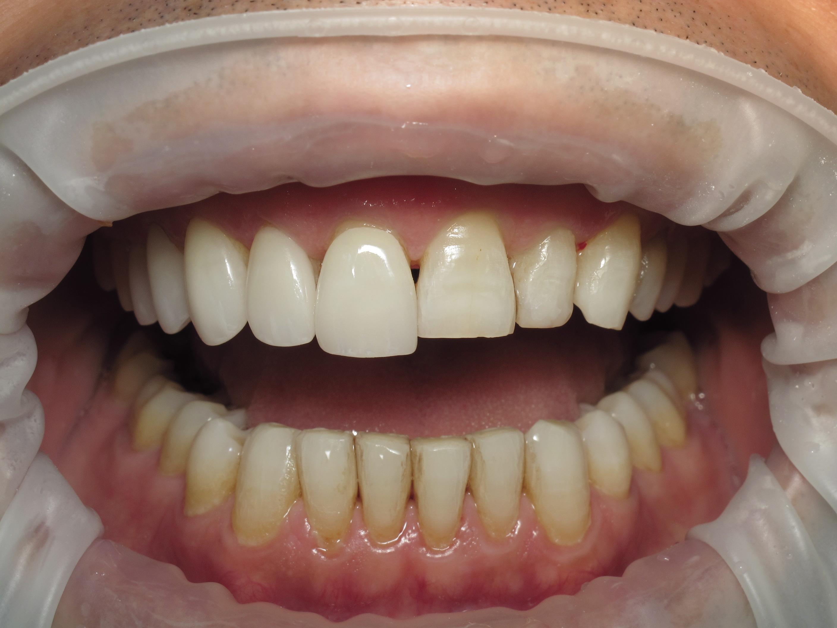
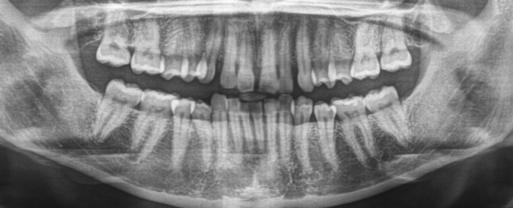
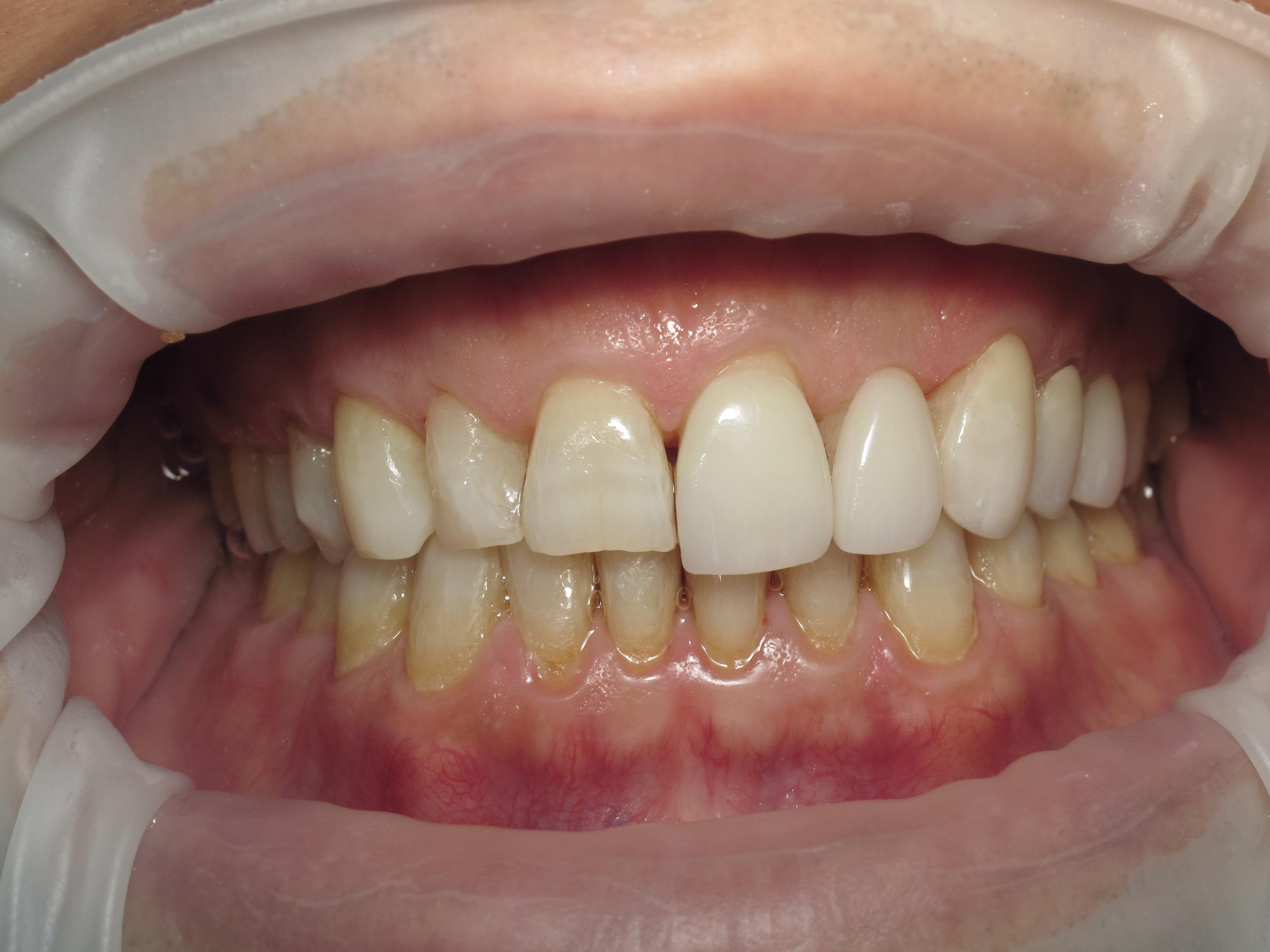
Patient came with a complaint of upper right central incisor drifting and  ” slightly coming outside.”  and it seems lower anteriors  have also tilted labially a little. This perhaps is due to gum recession and tartar accumulation.. The images shown below are after scaling.
What is the treatment?
Will orthodontic treatment work?  If yes can this case be done with aligners?
The local aligner company has suggested IPR of lower incisors and thereafter retroclination of U/L incisors. Is this possible or should I treatr the case with smile redesigning. The patient also wants other diastemas to be closed.  Hope to see a lot of responses and many thanks in advance for the same.
Regards ,
Dr Veerendra Darakh

Frontal View20240808_205936SANDHYA NAIR LATERAL CEPHALOGRAM 2.8.24_01_01Lower after scalingSANDHYA NAIR OPG 2.8.24_01

]]>
https://demo.discussdentistry.com/forums/topic/complication-with-understanding-margins-for-dental-technician/#post-26149 <![CDATA[Reply To: COMPLICATION WITH UNDERSTANDING MARGINS FOR DENTAL TECHNICIAN]]> https://demo.discussdentistry.com/forums/topic/complication-with-understanding-margins-for-dental-technician/#post-26149 Thu, 25 Jul 2024 15:47:19 +0000 site_admin Lab should not start  the case unless margins are clear.

Lab needs to talk to the dentist

]]>
https://demo.discussdentistry.com/forums/topic/complication-with-understanding-margins-for-dental-technician/#post-26145 <![CDATA[COMPLICATION WITH UNDERSTANDING MARGINS FOR DENTAL TECHNICIAN]]> https://demo.discussdentistry.com/forums/topic/complication-with-understanding-margins-for-dental-technician/#post-26145 Wed, 24 Jul 2024 13:14:18 +0000 easel dental laboratory SHOULDER MARGIN

CHAMFHER MARGIN

GUM MARGIN

EQUIGINGIVAL

SUB-GINGIVAL

SUPRA-GINGIVAL

OR

LAB CREATED MARGIN

]]>
https://demo.discussdentistry.com/forums/topic/no-prep-veneers/#post-26072 <![CDATA[Reply To: No prep veneers]]> https://demo.discussdentistry.com/forums/topic/no-prep-veneers/#post-26072 Wed, 15 May 2024 19:23:38 +0000 doctorsorabhjain@gmail.com Thank you for your reply.

Great case.

Keep it up…

Few doubts here…

1. When u used nti, how long will u advise to use? Can u share design or picture of Nti, u mentioned in Q2 and in Q8, as i suppose both would be different or same?

2. For Q9, can u please share image as to where the junction lies as “where natural tooth ends” i couldn’t understand, hence requesting to paste an image for this as well? If no image, then can u please show through schematic diagram,if possible?

3. Purpose of asking Q6 and Q10, was when you alter anterior guidance, that means when u said tight anterior contacts, then it would be steep or shallow? Also how much Occlusal clearance did u kept, reason for asking this is as we have veneer debonding or failures related, wanted to know what clearance u kept during static and dynamic movements?

Would love to watch future cases as well as long term follows up of the same case.

Thanks once again for sharing a nice case.

Apologies for so many queries…

]]>
https://demo.discussdentistry.com/forums/topic/accident-victim-upper-arch-rehab/#post-26049 <![CDATA[Accident victim => Upper arch rehab]]> https://demo.discussdentistry.com/forums/topic/accident-victim-upper-arch-rehab/#post-26049 Tue, 30 Apr 2024 04:28:51 +0000 Amit Kumar The patient presents after falling in the bathroom and hitting his face on the countertop.  Previously, he had a PFM crown in the upper anterior.  He needed root canal therapy.

The patient is a stage performer (actor) and has appeared in some minor film roles, so he wanted to restore his teeth so that his smile would appear “white” on camera.

The patient’s lower teeth need attention and we will start the process once the patient’s finances have improved.

eMax material was used.  Pics were taken immediately after cementation.Before LeftBefore FrontBefore RightAfter FrontAfter LeftAfter Right

]]>
https://demo.discussdentistry.com/forums/topic/no-prep-veneers/#post-26047 <![CDATA[Reply To: No prep veneers]]> https://demo.discussdentistry.com/forums/topic/no-prep-veneers/#post-26047 Tue, 30 Apr 2024 04:05:54 +0000 Amit Kumar Hello Dr. Jain

My apologies for the late reply.  I did not see your response.  Thank you for your feedback.

Please see my answers below:

1. Any mock trial was done?

No mock trial was done.  I typically get a wax up done for my prepped cases, but given that this was a no-prep case, no wax up was needed

2. Pts canine were attrited, what could be the reason?

The patient suffers from GERD and grinds his teeth, but does not have sleep apnea.  For this reason, we provided him with a night guard (NTI) post-cementation and advised him to see his primary care physician to manage the GERD.

3. What material is this veneer?

The material is eMax

4. What was the Bonding Protocol?

I use VarioLink Esthetic cementation protocol.  I’ve attached the instructions for your perusal.

5. It would have been difficult to hold, so what was used to hold the veneer and what was the sequence used?

I always use Pic-n-Stic from Pulpdent to hold each veneer.  This makes handling much easier, especially for large cases.

6. Was this done on semi adjustable articulator?

Yes

7. How have you decided to increase by 20 percent, as wouldn’t it be in accordance to eminence slope, was it taken into consideration and how?

Initially, the patient wanted to have his lower anterior teeth incorporated into the design, however, he wanted no prep.  We determined this was not possible as there was not enough clearance due to the anterior coupling being tight.  We did not decide to increase the length by 20% from the start.  This was determined after the case was mounted.

8. What Post Cementation care was Advised to prevent fracture?

I put the patient into a FDA approved appliance call NTI (nociceptive trigeminal inhibitor)

9. Where is the location of junction of veneer onto teeth Palatally?

As these are no-prep then is no junction that rests ‘onto’ the teeth.  The finish line is at the junction where the natural tooth ends.

10. What occlusal guidance scheme was followed?

We did not alter the occlusal scheme.  It was bi-lateral balanced before we started.  The canines have worn down but typically I like to restore them with canine guidance.

 

 

]]>
https://demo.discussdentistry.com/forums/topic/no-prep-veneers/#post-26023 <![CDATA[Reply To: No prep veneers]]> https://demo.discussdentistry.com/forums/topic/no-prep-veneers/#post-26023 Mon, 15 Apr 2024 05:57:25 +0000 doctorsorabhjain@gmail.com Nicely done.

Few queries?

1. Any mock trial was done?

2. Pts canine were attrited, what could be the reason?

3. What material is this veneer?

4. What was the Bonding Protocol?

5. It would have been difficult to hold, so what was used to hold the veneer and what was the sequence used?

6. Was this done on semi adjustable articulator?

7. How have you decided to increase by 20 percent, as wouldn’t it be in accordance to eminence slope, was it taken into consideration and how?

8. What Post Cementation care was Advised to prevent fracture?

9. Where is the location of junction of veneer onto teeth Palatally?

10. What occlusal guidance scheme was followed?

Thank you in advance.

]]>
https://demo.discussdentistry.com/forums/topic/no-prep-veneers/#post-26022 <![CDATA[No prep veneers]]> https://demo.discussdentistry.com/forums/topic/no-prep-veneers/#post-26022 Mon, 15 Apr 2024 03:43:21 +0000 Amit Kumar The patient is a successful physician who desired an improved smile but did not want to “shave down” his teeth.

No prep veneers were delivered from the upper second bi-cuspid to the second bi-cuspid on the contra-lateral side.  No temporaries were needed.

The patient also wanted to include his lower anterior teeth, however,Pre opPre op right sidePre op left sideTry in right sideTry in left sideFinal 1Final 2 there was not enough clearance to accomplish this using no-prep technique.

You can note that the upper central was lengthened by 20%.

]]>
https://demo.discussdentistry.com/forums/topic/smile-makeover-crown-lengthening-and-porcelain-restorations/#post-25972 <![CDATA[Reply To: Smile makeover – Crown lengthening and porcelain restorations]]> https://demo.discussdentistry.com/forums/topic/smile-makeover-crown-lengthening-and-porcelain-restorations/#post-25972 Mon, 18 Mar 2024 04:55:59 +0000 Amit Kumar Ramina AfterRamina Before

]]>
https://demo.discussdentistry.com/forums/topic/smile-makeover-crown-lengthening-and-porcelain-restorations/#post-25969 <![CDATA[Smile makeover – Crown lengthening and porcelain restorations]]> https://demo.discussdentistry.com/forums/topic/smile-makeover-crown-lengthening-and-porcelain-restorations/#post-25969 Mon, 18 Mar 2024 04:39:08 +0000 Amit Kumar Hello everyone

This patient presented to my office and was unsatisfied with her smile for many years.  She fell off her bike as a child and broke her front tooth.  Her childhood dentist placed a porcelain fused to metal crown which caused her to shy away from smiling as a young adult, even in her wedding photos.  After becoming a mother and raising her children, she decided it was time to do something for herself by giving her confidence in her smile.

The treatment plan was to enhance her smile and teeth proportion.  A wax-up for 10 restorations was done to show the patient what her teeth could look like with the proper plan.  This included a guide for a ‘gum-lift’ and a Sil-tech transfer guide so her temps resembled her wax-up.  We allowed her 2 weeks to give us feedback on her temps before we processed her final restorations   I used Luxatemp and bonded the temps using the acid-etch technique (no bonding agent).

The photos are pre-op and immediately after cementing her restorations in.  She was in temps for 6 weeks.

Final restorations are eMax.

 

]]>